Neumotórax: síntomas, causas y tratamiento

El neumotórax es una patología que implica el colapso pulmonar como consecuencia de la entrada de aire a la cavidad pleural. Puede ser ocasionada por varias condiciones, aunque los casos traumáticos son los más frecuentes en algunas poblaciones.
A continuación encontrarás un breve artículo sobre las principales características de esta condición. ¡Sigue leyendo para saber más!
Anatomía y fisiología del sistema respiratorio

El aparato respiratorio está formado por las vías aéreas y los pulmones. Las primeras están compuestas por la laringe, la tráquea, los bronquios, los bronquíolos y los alvéolos. Los pulmones están compuestos por tejido conectivo muy elástico.
Por supuesto, existe tejido vascular proveniente del corazón, cuyos vasos sanguíneos más pequeños están en estrecha relación con los alvéolos.
Los pulmones se encuentran en la cavidad torácica, y están rodeados por un tejido denominado pleura. Este se divide en dos capas muy delgadas pero resistentes. La más cercana a la superficie externa de los pulmones se denomina visceral, y la que se encuentra pegada a las paredes torácicas se llama parietal.
El espacio entre ambas se llama cavidad pleural, y contiene una pequeña cantidad de líquido. Gracias a un complejo mecanismo relacionado con la diferencia de presión entre la atmósfera y el interior de los pulmones, se produce un fenómeno llamado ventilación.
Así, el ser humano es capaz de inspirar aire rico en oxígeno y exhalar aire con abundante dióxido de carbono, proveniente del metabolismo de todas las células. Este proceso de denomina intercambio gaseoso.
Cuando el oxígeno llega a los alvéolos, este se desplaza hasta los vasos sanguíneos, los cuales drenan en la parte izquierda del corazón para que se distribuya la sangre al resto del organismo. De modo contrario, el dióxido de carbono pasa desde los pequeños vasos hacia los alvéolos, para poder expulsar este gas fuera del cuerpo.
Definición y síntomas del neumotórax
El neumotórax es una emergencia médica producida por la entrada de aire dentro de la cavidad pleural. Como mencionamos antes, esta contiene una pequeña cantidad de líquido de forma natural. El aire puede provenir tanto del interior como del exterior del cuerpo. En este último caso, el motivo suele ser un traumatismo torácico.
Debido a algunos fenómenos físicos, el pulmón del lado afectado puede llegar a colapsar. Por lo tanto, las manifestaciones clínicas derivan de la falta de oxigenación abrupta. Los síntomas son muy característicos, y los más frecuentes son los siguientes:
- Dificultad respiratoria (disnea).
- Aumento de la frecuencia cardíaca (taquicardia).
- Ventilación con poca profundidad, pero acompañada de aumento en la frecuencia respiratoria (taquipnea).
- Tos seca.
- Nerviosismo.
- Sudoración profusa.
Factores de riesgo del neumotórax
Si bien una gran cantidad de casos de neumotórax se producen como consecuencia de traumatismos torácicos abiertos, hay algunas patologías que aumentan la probabilidad de sufrir casos primarios o espontáneos. Algunas de estas condiciones son las siguientes:
- Antecedente personal de neumotórax, sin importar la causa.
- Enfermedad Pulmonar Obstructiva Crónica (EPOC).
- Tabaquismo crónico.
- Necesidad de ventilación mecánica por cualquier patología. Estos pacientes suelen estar en unidades de cuidados intensivos.
Según la Organización Mundial de la Salud (OMS), la EPOC es una enfermedad crónica inflamatoria que afecta al tejido pulmonar.
Es más frecuente en pacientes mayores de 40 años, y suele ser la consecuencia del tabaquismo o la exposición al humo de biomasa. Esto último es más frecuente en las comunidades rurales, donde se cocina con leña.
Tipos y causas
Es posible distinguir cuatro tipos de neumotórax, cuyas diferencias radican en los mecanismos fisiopatológicos: traumáticos, iatrogénicos, relacionados con la ventilación mecánica y espontáneos.
Traumático
Suele ser el más frecuente en los pacientes jóvenes, en especial aquellos que residen en zonas violentas. Tanto las heridas por armas blancas como las producidas por armas de fuego son capaces de producir un neumotórax traumático.
La perforación de la pleura parietal trae como consecuencia directa la comunicación entre el exterior y la cavidad pleural. Debido a la diferencia de presiones, el aire entra en la cavidad, provocando colapso pulmonar casi inmediato.
Iatrogénico y relacionado con la ventilación mecánica
El término iatrogenia se utiliza para designar cualquier problema médico relacionado con un acto terapéutico. Esto puede producirse por error humano o como efecto adverso de algún tratamiento.
Durante algunos procedimientos como la canalización de accesos venosos a través de la vena subclavia, la toma de biopsia pulmonar y la toracocentesis, es posible que se produzca un neumotórax iatrogénico.
Por otro lado, los pacientes con insuficiencia respiratoria suelen requerir ventilación mecánica y hospitalización en unidades de cuidados intermedios o intensivos. Esto permite proporcionar de forma artificial tanto la presión como el oxígeno necesario para garantizar una adecuada mecánica pulmonar.
A veces, esto puede traer como consecuencia sobreexpansión pulmonar y rotura de los alvéolos, lo cual favorece la aparición de neumotórax y enfisema subcutáneo. Este caso también se considera una causa iatrogénica.
Espontáneo
Este último tipo de neumotórax es el que tiende a producir problemas diagnósticos, ya que no existe una causa evidente de los síntomas. Se puede subclasificar en primario y secundario. La diferencia radica en que este último tipo se presenta en pacientes con patologías pulmonares previas.
Algunos de los casos primarios ocurren en pacientes con bullas pulmonares que no se habían diagnosticado antes. Esta última es una estructura llena de aire que por lo general se ubica en los ápices pulmonares. Pueden formarse como consecuencia de infecciones actuales o previas, como sucede en la tuberculosis y algunos casos de neumonía.
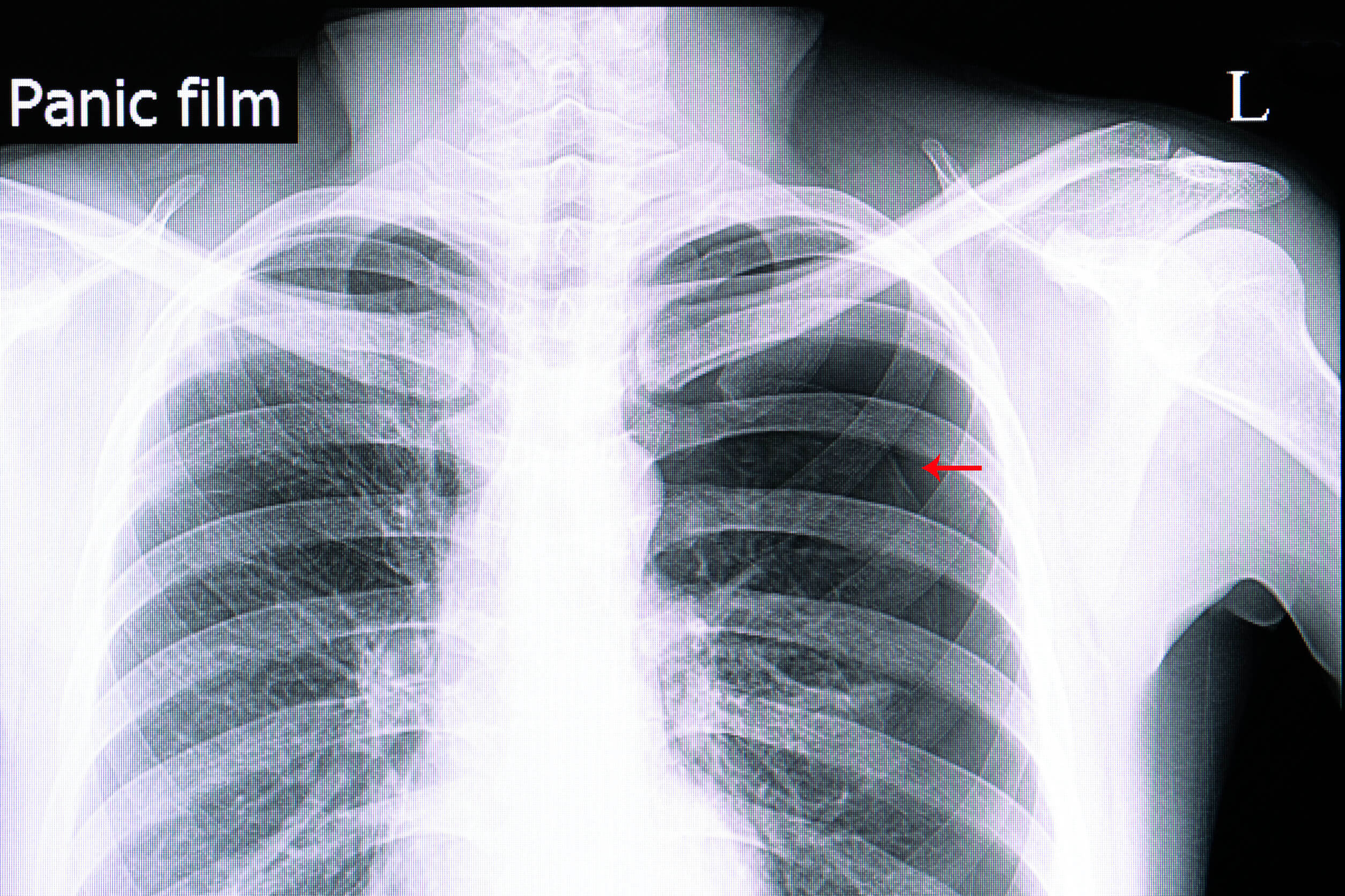
Diagnóstico del neumotórax

En la gran mayoría de los casos, el diagnóstico es clínico. Se puede recurrir a algunos estudios complementarios solo en aquellos casos en los que no esté comprometida la vida del paciente de forma inmediata.
De estos, la radiografía simple de tórax es la más indicada. El colapso tanto del pulmón como de sus estructuras vasculares suele ser muy evidente, a pesar de que en ciertos pacientes pudiese pasar desapercibido. En este último caso, el uso de una tomografía computarizada puede ser beneficioso.
Tratamiento
El objetivo del tratamiento es retirar el aire dentro de la cavidad pleural, para favorecer la adecuada expansión pulmonar y el restablecimiento de la mecánica de este sistema. Dependiendo del caso, puede recurrirse a un tratamiento quirúrgico y no quirúrgico.
El tratamiento quirúrgico por excelencia es la videotoracoscopia, que permite ubicar y cerrar las zonas en las que exista una fuga de aire. Es muy útil en los casos de neumotórax espontáneo.
En los casos traumáticos, la inserción de una sonda flexible favorece la salida de aire. Sin embargo, como la recurrencia en forma de neumotórax espontáneo puede llegar a ser elevada, es recomendable la realización de un procedimiento quirúrgico para sellar de forma definitiva el sitio de la lesión inicial.
El neumotórax, una emergencia médica
Si bien algunos casos de neumotórax pueden manejarse en varias horas, estos pueden evolucionar a una forma mortal denominada neumotórax a tensión. Por ello, es necesario acudir a un servicio de emergencias en caso de presentar los síntomas mencionados.
- González C. Neumotórax espontáneo a tensión. SEMERGEN 2010;36(4):227-229.
- González Fernández AM, Torres Torres AR, Valverde Molina J. Traumatismo torácico, neumotórax, hemoptisis y tromboembolismo pulmonar. Protoc diagn ter pediatr 2017;1:189-209.
- Johnson NN, Toledo A, Endom EE. Pneumothorax, pneumomediastinum and pulmonary embolism. Pediatr Clin N Am. 2010;57:1357-83.
- Porcel J. Neumotórax espontáneo. Medicina Integral 2001;38(1):3-7.
- Roberts DJ, Leigh-Smith S, Faris PD, Ball ChG, Robertson HLBlacmore Ch, et al. Clinical manifestations of tension pneumothorax: protocol for a systemic review and meta-analysis. Syst Rev. 2014;3:3.
- Ossés J, et al. Neumotórax. Revista Medicina Respiratoria 2003;1:35-40.
Este texto se ofrece únicamente con propósitos informativos y no reemplaza la consulta con un profesional. Ante dudas, consulta a tu especialista.







