Diferencias entre aneurisma y derrame cerebral


Escrito y verificado por el biólogo Samuel Antonio Sánchez Amador
El derrame cerebral o accidente cerebrovascular (ACV) es la quinta causa de muerte en Estados Unidos. En el año 2018, 1 de cada 6 muertes por enfermedades cardiovasculares encontraron su causa en un derrame, un paciente sufre un ACV cada 40 segundos y, cada 4 minutos, alguien muere por él. ¿Sabes cuáles son las diferencias entre un aneurisma y derrame cerebral?
La terminología médica suele causar confusión entre la población general. Por ello, a veces se malinterpretan eventos con etiologías similares a nivel clínico. Un aneurisma puede desembocar en un derrame cerebral, pero no todas las aneurismas suceden en el cerebro ni todos los derrames encuentran su causa en un aneurisma.
Dicho de otro modo, un accidente cerebrovascular es la afección médica que ocurre como consecuencia de la patología, mientras que el aneurisma puede ser uno de sus múltiples desencadenantes. Si quieres saber más sobre esta interesante temática, sigue leyendo.
La importancia de los derrames cerebrales, en cifras

Antes de comenzar de lleno con diferencias y términos médicos, es esencial establecer la importancia de los ACVs a nivel social. El portal Go Red for Women nos trae algunas estadísticas relevantes en lo que a derrames cerebrales se refiere, junto con otras fuentes médicas. Algunas de ellas son las siguientes:
- Cada año, unos 800 000 estadounidenses sufren un ACV por primera vez o de forma recurrente.
- En esta misma región, sucede un nuevo derrame cada 40 segundos. Cada 4 minutos un paciente que ha sufrido un ACV termina muriendo.
- En el año 2015, murieron 6,7 millones de personas por un derrame.
- En España, hay un máximo de 250 casos por cada 100 000 habitantes.
- Durante el primer mes tras el ACV, la tasa de mortalidad es mayor a un 25 % . De los pacientes que sobreviven, casi el 30 % muestran dificultades serias para realizar una tarea básica.
- El 60 % de los ACVs ocurren fuera del ambiente hospitalario. Esto reduce de forma drástica la esperanza de vida del paciente.
Todos estos datos nos ayudan a comprender la importancia de los derrames cerebrales en la sociedad actual. 1 de cada 18 muertes en los países de alto ingreso se deben a este evento clínico, así que es necesario conocerlo a la perfección. A continuación, te presentamos la etiología de un derrame.
La etiología del accidente cerebrovascular (ACV)
Existen 2 tipos de accidentes cerebrovasculares, 3 si hilamos muy fino: accidente cerebrovascular isquémico y accidente cerebrovascular hemorrágico, siendo esta última categoría dividida en otros 2 eventos, ACV por hemorragia intracerebral (ICH) y por hemorragia subaracnoidea. Te contamos sus particularidades.
Accidente cerebrovascular isquémico
Tal y como indica la Biblioteca Nacional de Medicina de los Estados Unidos, el 80 % de los ACVs entran en esta categoría. En general, este cuadro es causado por un coágulo de sangre que bloquea un vaso sanguíneo conectado al cerebro. Esto evita que la sangre fluya de forma correcta el tejido del encéfalo y, por ende, las células comienzan a morir de forma rápida.
La aterosclerosis es el evento clínico más común que precede a un ACV isquémico. En esta situación, una arteria que comunica al cerebro con el resto del cuerpo sufre una acumulación de grasas, colesterol y otras sustancias en su endotelio y espacio, dando lugar a una estructura conocida como “placa”.
Mecanismos celulares implicados
Cuando la placa se forma, esta corta de forma parcial o total el flujo de sangre a una sección dada del cerebro. En cuanto esto sucede, las neuronas adyacentes al lugar de la oclusión comienzan a perder oxígeno y nutrientes. Según el portal médico StatPearls, la inhabilidad celular para realizar un metabolismo aeróbico provoca que las bombas de sodio y potasio fallen.
Estos cambios en la polarización de la célula causan que se acumulen iones sodio (Na+) en el interior del a neurona e iones potasio (K+) en el exterior. No vamos a entrar en particularidades bioquímicas, pero este efecto cascada provoca la entrada masiva de calcio a la neurona y su consiguiente muerte por excitotoxicidad.
La entrada de calcio en la neurona hace que esta se hiperactive y termine muriendo de forma rápida.
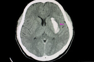
Accidente cerebrovascular hemorrágico
El ACV hemorrágico es causante del 15 % de los derrames cerebrales totales (con un intervalo del 10-20 %). En este caso, la historia es muy distinta, pues el daño neuronal es causado por una ruptura de un vaso sanguíneo y el encharcamiento del tejido cerebral.
Se estipula que la hipertensión es la causante principal de casi todos los derrames hemorrágicos, tal y como indica otro artículo del portal StatPearls. Entenderás mejor a qué nos referimos con los siguientes datos:
- Una hipertensión arterial continuada provoca daños lentos pero progresivos en los vasos sanguíneos. Entre ellos, destacamos la ruptura de la lámina elástica y la fragmentación de los músculos lisos de la pared arterial interna.
- Se produce un evento conocido como lipohianolisis, trastorno oclusivo que ocurre a nivel de las pequeñas arteriolas del cerebro. También tiene lugar una necrosis fibrinoide del subendotelio y dilataciones focales de la zona analizada.
- El lugar de ruptura suelen ser las arterias pequeñas que penetran en el tejido cerebral. Aquellas de 50 a 700 micrómetros de diámetro son las que más lugares de ruptura asociados muestran.
Los principales lugares cerebrales de sangrado son los ganglios basales (50 %), lóbulos cerebrales (20 %), tálamo (15 %), tronco encefálico (10 %) y cerebelo (10 %). Las lesiones primarias se producen cuando el hematoma generado por la ruptura del vaso provoca compresión en el tejido cerebral y causa un aumento de la presión intracraneal.
También se producen daños tisulares secundarios asociados a los procesos inflamatorios, disrupción de la barrera hematoencefálica (BBB), edema y sobreproducción de radicales libres, entre otras cosas. En resumen, el tejido cerebral se encharca de sangre y las neuronas mueren como consecuencia de esta atípica situación.
El aneurisma: la otra cara de la moneda
Todo este conocimiento era necesario, pues ahora podrás entender la siguiente frase que te enunciamos: un aneurisma es una de las posibles causas de un derrame cerebral hemorrágico. Así pues, la primera de las diferencias entre aneurisma y derrame cerebral es que la aneurisma es la causa, mientras que el ACV hemorrágico es la consecuencia.
Con base en el conocimiento del aneurisma, te presentamos ciertas diferencias significativas entre ambos términos. Vamos a ello.
1. La etiología del aneurisma es diferente al derrame isquémico
Un aneurisma es una pequeña protuberancia con forma de globo y llena de sangre que se forma en las paredes de los vasos sanguíneos, sean estos cerebrales o no. Cuando un aneurisma localizado en el cerebro se rompe, produce un ACV hemorrágico, pero ni todos los aneurismas terminan rompiéndose ni todos están localizados en el encéfalo.
La causa de la formación de un aneurisma es multifactorial, pues en general se sospecha de la actividad sinérgica de factores predisponentes como edad avanzada, hipertensión, abuso del alcohol, consumo de tabaco y aterosclerosis. También se ha asociado al consumo de cocaína, tumores, traumas físicos e infecciones, como la endocarditis.
Algunos de los factores de riesgo son comunes entre el ACV y el aneurisma, pero destacamos que no se tratan de la misma entidad clínica.
2. Las cifras epidemiológicas son muy distintas
Según el European Manual of Medicine-Neurosurgery, la prevalencia general de los aneurismas craneales es de un 0,4-3,6 % de la población general. Como puedes ver, la incidencia es bastante más alta que la de los ACVs, pero por suerte, no todas estas formaciones se rompen. Del 50 al 80 % de los aneurismas nunca llegan a causar hemorragias internas.
Además, cabe destacar que no todos los aneurismas son craneales. También pueden presentarse en la arteria aorta, en vasos periféricos o estructuras renales. Los aneurismas renales son los más raros de todos, y la probabilidad de que se rompan es aún menor que en el resto.
3. Los aneurismas avisan, pero solo a veces
La mayoría de las personas que tienen un aneurisma nunca se dan cuenta de ello. A veces se detectan tras un análisis rutinario o buscando otra patología, pues como hemos dicho, no suelen romperse ni causar complicaciones.
De todas formas, podemos dividir la sintomatología en 2 grandes bloques, si es que se presenta en algún momento:
- Aneurisma no roto: fatiga, pérdida de percepción, dificultad para pensar, dolores de cabeza y problemas del habla. Esto solo se experimenta cuando el aneurisma cerebral es grande y está causando algún tipo de pinzamiento o daño en el tejido.
- Aneurisma roto (ACV hemorrágico): los síntomas son los de un derrame cerebral. Esto incluye entumecimiento repentino de un plano corporal, confusión, dolor de cabeza severo, presentación de un óvulo rojo y malestar muy intenso detrás o debajo de los ojos. Finalmente, el paciente puede llegar a morir.
Una de las diferencias entre aneurisma y derrame cerebral es que todos los derrames provocan síntomas, pero pocos aneurismas se manifiestan de forma clínica antes de la rotura, si es que esta llega.
4. Distintos pronósticos

En general, el pronóstico de un aneurisma cerebral roto es algo mejor que el de un ACV isquémico, aunque esto siempre depende del diámetro de la lesión. Se estima que el 13 % de las personas que sufren esta ruptura fallecen, en comparación con la tasa de letalidad de casi un 30 % del derrame cerebral clásico.
Por otro lado, el 60 % de las personas sobreviven sin síntomas posteriores al aneurisma roto, mientras que un 27 % presentan secuelas. La rotura de otros tipos de aneurismas es bastante más letal, pues tal y como indica la Clínica Universidad Navarra (CUN), un aneurisma roto de la aorta se traduce en muerte en 9 de cada 10 pacientes.
5. No todos los ACVs hemorrágicos son causados por aneurisma
El derrame cerebral isquémico no encuentra su causa en un aneurisma en ningún caso, pero la variante hemorrágica puede hacerlo (o no). Por ejemplo, el ACV hemorrágico puede deberse a una malformación arteriovenosa o a la rotura de una arteria sin dilatar, ya sea por una contusión grave directa en la cabeza o por otros motivos.
Las diferencias entre aneurisma y derrame cerebral no son pocas
Con todos estos datos, hemos logrado ejemplificar correctamente las diferencias entre un aneurisma y derrame cerebral. El aneurisma es una formación con forma de uva en la cual se almacena sangre al margen de un vaso sanguíneo, mientras que un derrame cerebral supone un daño irreversible en el tejido neuronal por diversas causas.
No todos los aneurismas son patológicos, pues recordamos que hasta el 80 % de ellos son pequeños y nunca llegan a romperse. Por otro lado, un derrame cerebral siempre es un problema, pues sea cual sea la causa, el daño cerebral que está teniendo lugar durante el desarrollo de los síntomas puede ser irreversible.
Para finalizar, queremos destacar que un pequeño porcentaje de aneurismas cerebrales pueden desembocar en un derrame cerebral hemorrágico, pero este no suele ser el caso. Ni todos los aneurismas derivan en un ACV ni todos los ACVs son provocados por aneurismas. Así de simple.
El derrame cerebral o accidente cerebrovascular (ACV) es la quinta causa de muerte en Estados Unidos. En el año 2018, 1 de cada 6 muertes por enfermedades cardiovasculares encontraron su causa en un derrame, un paciente sufre un ACV cada 40 segundos y, cada 4 minutos, alguien muere por él. ¿Sabes cuáles son las diferencias entre un aneurisma y derrame cerebral?
La terminología médica suele causar confusión entre la población general. Por ello, a veces se malinterpretan eventos con etiologías similares a nivel clínico. Un aneurisma puede desembocar en un derrame cerebral, pero no todas las aneurismas suceden en el cerebro ni todos los derrames encuentran su causa en un aneurisma.
Dicho de otro modo, un accidente cerebrovascular es la afección médica que ocurre como consecuencia de la patología, mientras que el aneurisma puede ser uno de sus múltiples desencadenantes. Si quieres saber más sobre esta interesante temática, sigue leyendo.
La importancia de los derrames cerebrales, en cifras

Antes de comenzar de lleno con diferencias y términos médicos, es esencial establecer la importancia de los ACVs a nivel social. El portal Go Red for Women nos trae algunas estadísticas relevantes en lo que a derrames cerebrales se refiere, junto con otras fuentes médicas. Algunas de ellas son las siguientes:
- Cada año, unos 800 000 estadounidenses sufren un ACV por primera vez o de forma recurrente.
- En esta misma región, sucede un nuevo derrame cada 40 segundos. Cada 4 minutos un paciente que ha sufrido un ACV termina muriendo.
- En el año 2015, murieron 6,7 millones de personas por un derrame.
- En España, hay un máximo de 250 casos por cada 100 000 habitantes.
- Durante el primer mes tras el ACV, la tasa de mortalidad es mayor a un 25 % . De los pacientes que sobreviven, casi el 30 % muestran dificultades serias para realizar una tarea básica.
- El 60 % de los ACVs ocurren fuera del ambiente hospitalario. Esto reduce de forma drástica la esperanza de vida del paciente.
Todos estos datos nos ayudan a comprender la importancia de los derrames cerebrales en la sociedad actual. 1 de cada 18 muertes en los países de alto ingreso se deben a este evento clínico, así que es necesario conocerlo a la perfección. A continuación, te presentamos la etiología de un derrame.
La etiología del accidente cerebrovascular (ACV)
Existen 2 tipos de accidentes cerebrovasculares, 3 si hilamos muy fino: accidente cerebrovascular isquémico y accidente cerebrovascular hemorrágico, siendo esta última categoría dividida en otros 2 eventos, ACV por hemorragia intracerebral (ICH) y por hemorragia subaracnoidea. Te contamos sus particularidades.
Accidente cerebrovascular isquémico
Tal y como indica la Biblioteca Nacional de Medicina de los Estados Unidos, el 80 % de los ACVs entran en esta categoría. En general, este cuadro es causado por un coágulo de sangre que bloquea un vaso sanguíneo conectado al cerebro. Esto evita que la sangre fluya de forma correcta el tejido del encéfalo y, por ende, las células comienzan a morir de forma rápida.
La aterosclerosis es el evento clínico más común que precede a un ACV isquémico. En esta situación, una arteria que comunica al cerebro con el resto del cuerpo sufre una acumulación de grasas, colesterol y otras sustancias en su endotelio y espacio, dando lugar a una estructura conocida como “placa”.
Mecanismos celulares implicados
Cuando la placa se forma, esta corta de forma parcial o total el flujo de sangre a una sección dada del cerebro. En cuanto esto sucede, las neuronas adyacentes al lugar de la oclusión comienzan a perder oxígeno y nutrientes. Según el portal médico StatPearls, la inhabilidad celular para realizar un metabolismo aeróbico provoca que las bombas de sodio y potasio fallen.
Estos cambios en la polarización de la célula causan que se acumulen iones sodio (Na+) en el interior del a neurona e iones potasio (K+) en el exterior. No vamos a entrar en particularidades bioquímicas, pero este efecto cascada provoca la entrada masiva de calcio a la neurona y su consiguiente muerte por excitotoxicidad.
La entrada de calcio en la neurona hace que esta se hiperactive y termine muriendo de forma rápida.
Accidente cerebrovascular hemorrágico
El ACV hemorrágico es causante del 15 % de los derrames cerebrales totales (con un intervalo del 10-20 %). En este caso, la historia es muy distinta, pues el daño neuronal es causado por una ruptura de un vaso sanguíneo y el encharcamiento del tejido cerebral.
Se estipula que la hipertensión es la causante principal de casi todos los derrames hemorrágicos, tal y como indica otro artículo del portal StatPearls. Entenderás mejor a qué nos referimos con los siguientes datos:
- Una hipertensión arterial continuada provoca daños lentos pero progresivos en los vasos sanguíneos. Entre ellos, destacamos la ruptura de la lámina elástica y la fragmentación de los músculos lisos de la pared arterial interna.
- Se produce un evento conocido como lipohianolisis, trastorno oclusivo que ocurre a nivel de las pequeñas arteriolas del cerebro. También tiene lugar una necrosis fibrinoide del subendotelio y dilataciones focales de la zona analizada.
- El lugar de ruptura suelen ser las arterias pequeñas que penetran en el tejido cerebral. Aquellas de 50 a 700 micrómetros de diámetro son las que más lugares de ruptura asociados muestran.
Los principales lugares cerebrales de sangrado son los ganglios basales (50 %), lóbulos cerebrales (20 %), tálamo (15 %), tronco encefálico (10 %) y cerebelo (10 %). Las lesiones primarias se producen cuando el hematoma generado por la ruptura del vaso provoca compresión en el tejido cerebral y causa un aumento de la presión intracraneal.
También se producen daños tisulares secundarios asociados a los procesos inflamatorios, disrupción de la barrera hematoencefálica (BBB), edema y sobreproducción de radicales libres, entre otras cosas. En resumen, el tejido cerebral se encharca de sangre y las neuronas mueren como consecuencia de esta atípica situación.
El aneurisma: la otra cara de la moneda
Todo este conocimiento era necesario, pues ahora podrás entender la siguiente frase que te enunciamos: un aneurisma es una de las posibles causas de un derrame cerebral hemorrágico. Así pues, la primera de las diferencias entre aneurisma y derrame cerebral es que la aneurisma es la causa, mientras que el ACV hemorrágico es la consecuencia.
Con base en el conocimiento del aneurisma, te presentamos ciertas diferencias significativas entre ambos términos. Vamos a ello.
1. La etiología del aneurisma es diferente al derrame isquémico
Un aneurisma es una pequeña protuberancia con forma de globo y llena de sangre que se forma en las paredes de los vasos sanguíneos, sean estos cerebrales o no. Cuando un aneurisma localizado en el cerebro se rompe, produce un ACV hemorrágico, pero ni todos los aneurismas terminan rompiéndose ni todos están localizados en el encéfalo.
La causa de la formación de un aneurisma es multifactorial, pues en general se sospecha de la actividad sinérgica de factores predisponentes como edad avanzada, hipertensión, abuso del alcohol, consumo de tabaco y aterosclerosis. También se ha asociado al consumo de cocaína, tumores, traumas físicos e infecciones, como la endocarditis.
Algunos de los factores de riesgo son comunes entre el ACV y el aneurisma, pero destacamos que no se tratan de la misma entidad clínica.
2. Las cifras epidemiológicas son muy distintas
Según el European Manual of Medicine-Neurosurgery, la prevalencia general de los aneurismas craneales es de un 0,4-3,6 % de la población general. Como puedes ver, la incidencia es bastante más alta que la de los ACVs, pero por suerte, no todas estas formaciones se rompen. Del 50 al 80 % de los aneurismas nunca llegan a causar hemorragias internas.
Además, cabe destacar que no todos los aneurismas son craneales. También pueden presentarse en la arteria aorta, en vasos periféricos o estructuras renales. Los aneurismas renales son los más raros de todos, y la probabilidad de que se rompan es aún menor que en el resto.
3. Los aneurismas avisan, pero solo a veces
La mayoría de las personas que tienen un aneurisma nunca se dan cuenta de ello. A veces se detectan tras un análisis rutinario o buscando otra patología, pues como hemos dicho, no suelen romperse ni causar complicaciones.
De todas formas, podemos dividir la sintomatología en 2 grandes bloques, si es que se presenta en algún momento:
- Aneurisma no roto: fatiga, pérdida de percepción, dificultad para pensar, dolores de cabeza y problemas del habla. Esto solo se experimenta cuando el aneurisma cerebral es grande y está causando algún tipo de pinzamiento o daño en el tejido.
- Aneurisma roto (ACV hemorrágico): los síntomas son los de un derrame cerebral. Esto incluye entumecimiento repentino de un plano corporal, confusión, dolor de cabeza severo, presentación de un óvulo rojo y malestar muy intenso detrás o debajo de los ojos. Finalmente, el paciente puede llegar a morir.
Una de las diferencias entre aneurisma y derrame cerebral es que todos los derrames provocan síntomas, pero pocos aneurismas se manifiestan de forma clínica antes de la rotura, si es que esta llega.
4. Distintos pronósticos

En general, el pronóstico de un aneurisma cerebral roto es algo mejor que el de un ACV isquémico, aunque esto siempre depende del diámetro de la lesión. Se estima que el 13 % de las personas que sufren esta ruptura fallecen, en comparación con la tasa de letalidad de casi un 30 % del derrame cerebral clásico.
Por otro lado, el 60 % de las personas sobreviven sin síntomas posteriores al aneurisma roto, mientras que un 27 % presentan secuelas. La rotura de otros tipos de aneurismas es bastante más letal, pues tal y como indica la Clínica Universidad Navarra (CUN), un aneurisma roto de la aorta se traduce en muerte en 9 de cada 10 pacientes.
5. No todos los ACVs hemorrágicos son causados por aneurisma
El derrame cerebral isquémico no encuentra su causa en un aneurisma en ningún caso, pero la variante hemorrágica puede hacerlo (o no). Por ejemplo, el ACV hemorrágico puede deberse a una malformación arteriovenosa o a la rotura de una arteria sin dilatar, ya sea por una contusión grave directa en la cabeza o por otros motivos.
Las diferencias entre aneurisma y derrame cerebral no son pocas
Con todos estos datos, hemos logrado ejemplificar correctamente las diferencias entre un aneurisma y derrame cerebral. El aneurisma es una formación con forma de uva en la cual se almacena sangre al margen de un vaso sanguíneo, mientras que un derrame cerebral supone un daño irreversible en el tejido neuronal por diversas causas.
No todos los aneurismas son patológicos, pues recordamos que hasta el 80 % de ellos son pequeños y nunca llegan a romperse. Por otro lado, un derrame cerebral siempre es un problema, pues sea cual sea la causa, el daño cerebral que está teniendo lugar durante el desarrollo de los síntomas puede ser irreversible.
Para finalizar, queremos destacar que un pequeño porcentaje de aneurismas cerebrales pueden desembocar en un derrame cerebral hemorrágico, pero este no suele ser el caso. Ni todos los aneurismas derivan en un ACV ni todos los ACVs son provocados por aneurismas. Así de simple.
- Datos, causas y riesgos de los accidentes cerebrovasculares, goredforwomen. Recogido a 12 de abril en https://www.goredforwomen.org/es/about-heart-disease-in-women/facts/facts-causes-risks-and-prevention-of-stroke#:~:text=Los%20derrames%20cerebrales%20matan%20a,y%20un%2060%25%20en%20mujeres.
- Accidente cerebrovascular, Medlineplus.gov. Recogido a 12 de abril en https://medlineplus.gov/spanish/stroke.html
- Tadi, P., & Lui, F. (2020). Acute Stroke. StatPearls [Internet].
- Unnithan, A. K. A., & Mehta, P. (2020). Hemorrhagic Stroke. StatPearls [Internet].
- Kumar, R. (2010). CB Lumenta, J. Haase, C. Di Rocco, JJA Mooij (eds) European Manual of Medicine–Neurosurgery.
- Aneurisma aórtico, CUN. Recogido a 12 de abril en https://www.cun.es/enfermedades-tratamientos/enfermedades/aneurisma-aorta#:~:text=Los%20aneurismas%20de%20aorta%20abdominal,es%20mayor%20de%205%20cm.
Este texto se ofrece únicamente con propósitos informativos y no reemplaza la consulta con un profesional. Ante dudas, consulta a tu especialista.







