Diferenças entre acidente vascular cerebral e derrame cerebral


Escrito y verificado por el biólogo Samuel Antonio Sánchez Amador
O acidente vascular cerebral ou derrame cerebral é a segunda causa de morte no mundo, conforme indicado pela Organização Mundial da Saúde (OMS). Só são superadas pelas doenças isquêmicas do coração e, junto com estas, representam as principais doenças cardiovasculares. Você conhece as diferenças entre AVC e AVC?
Esses termos são usados indistintamente em muitos casos, mas para poder usá-los da maneira correta é necessário fazer certas aclarações.
A importância dos acidentes vasculares cerebrais
Ambos acidentes representam a perda ou diminuição do fluxo sanguíneo para uma parte do cérebro, o que resulta em danos nos tecidos irreversível. Em linhas posteriores, veremos que existem 2 tipos de AVC: isquêmico e hemorrágico.
Conforme apontado pela OMS, o AVC é a segunda causa de morte no mundo, causando 6,2 milhões de mortes anualmente, o equivalente a 11% do total. Aproximadamente 17 milhões de pessoas sofrem um derrame a cada ano e 33 milhões vivem hoje depois de experimentá-lo.
Os Centros de Controle e Prevenção de Doenças (CDC) nos mostram alguns números interessantes sobre o AVC.
- Em 2018, 1 em cada 6 mortes nos Estados Unidos atribuídas a doenças cardiovasculares foi causada por acidente vascular cerebral.
- Todos os anos, cerca de 795.000 pessoas nesta região sofrem um acidente vascular cerebral. 610.000 deles experimentam pela primeira vez, enquanto a porcentagem restante é recorrente. 1 em cada 4 pessoas que sofreram AVC já o tiveram.
- Aproximadamente 87% dos acidentes vasculares cerebrais são isquêmicos.
- Sofrer de um AVC está associado à perda irreversível das faculdades e à morte em muitos casos.
95% dos acidentes vasculares cerebrais ocorrem em pessoas com mais de 40 anos de idade, com 2/3 das pessoas afetadas sendo pacientes com 65 anos ou mais. No entanto, as chances de desenvolver essa condição com risco de vida aumentam exponencialmente após os 30 anos. Os homens têm 25% mais probabilidade de sofrer um AVC, mas 60% das mortes ocorrem em mulheres.
Os acidentes vasculares cerebrais são a segunda causa de morte em todo o mundo.
As diferenças entre AVC e derrame cerebral

As diferenças entre AVC e derrame são muito menores do que pode parecer à primeira vista, já que a maioria das fontes profissionais usa ambos os termos como intercambiáveis. AVC, derrame e acidente vascular cerebral são usados para designar a mesma coisa: a falta de suprimento de sangue para o tecido cerebral. Vamos ver as definições exatas de cada um deles.
O National Cancer Institute (NCI) define o AVC como “a perda de fluxo sanguíneo para uma parte do cérebro que danifica o tecido cerebral”. O AVC pode ser hemorrágico e isquêmico, dependendo da etiologia da doença. De acordo com esta fonte, o termo acidente vascular cerebral é sinônimo de derrame cerebral.
O portal RadiologyInfo argumenta que acidente vascular cerebral é o que ocorre quando o fluxo sanguíneo para uma parte do cérebro é interrompido como resultado da ruptura ou bloqueio de um vaso. Novamente, é feita uma distinção entre a variante isquêmica e hemorrágica, portanto não há nenhuma diferença com o termo derrame cerebral.
No sentido estrito da palavra, derrame deveria designar apenas aquela condição em que o sangue se derrama pelo tecido cerebral, algo que ocorre no AVC hemorrágico, mas não no AVC isquêmico. Por esse motivo, o AVC isquêmico deve ser denominado infarto cerebral, restando apenas o termo derrame para a variante hemorrágica.
Em todo caso, essa distinção carece de respaldo médico e não é levada em consideração nos portais de diagnóstico profissional. Portanto, podemos afirmar que não há diferenças entre AVC e derrame.
Diferenças entre AVC isquêmico e hemorrágico
Embora não haja distinção entre AVC e derrame, existem diferenças claras entre AVC isquêmico e AVC hemorrágico. Aproveitamos essas linhas para explicar ambos os quadros clínicos e confrontá-los, pois têm relevância em nível médico. Não o perca!
Infarto cerebral vs. derrame cerebral
A palavra mais apropriada para acidente vascular cerebral isquêmico é infarto cerebral. Essa condição ocorre quando parte do fluxo sanguíneo é reduzido em uma área específica do cérebro. Essa falta de sangue é longa o suficiente para causar a morte de parte do tecido cerebral.
Por outro lado, o derrame hemorrágico ocorre quando um vaso sanguíneo se rompe e sangra dentro do cérebro. Minutos após a ruptura do vaso, as células cerebrais começam a morrer, pois são cercadas por fluido sanguíneo que interrompe seus processos fisiológicos.
Também deve ser levado em consideração que existe uma terceira condição nesta frente, que é conhecida como mini AVC ou ataque isquêmico transitório. Este é um tipo muito breve de derrame em que o fluxo sanguíneo é interrompido em parte do tecido cerebral. Os sintomas são muito semelhantes aos de um AVC normal, mas a duração é muito mais curta, além de ser reversível.
Em um infarto cerebral, o fluxo sanguíneo para uma área do cérebro é interrompido, enquanto em um derrame o sangue se acumula no tecido cerebral.
Diferentes números epidemiológicos
Conforme indicado pela Biblioteca Nacional de Medicina dos Estados Unidos, o acidente vascular cerebral isquêmico é responsável por 80% dos acidentes vasculares cerebrais em todo o mundo. Portanto, a variante hemorrágica só pode explicar os 20% restantes dos casos (em algumas regiões, como os EUA menos, pois representa 13%).
Os acidentes vasculares isquêmicos são muito mais comuns devido à sua etiologia causal. Esse tipo de acidente vascular cerebral é causado por doenças como colesterol alto, hipertensão, diabetes, alcoolismo e obesidade, entre outras doenças muito prevalentes na sociedade em geral. A hipertensão arterial afeta mais de 30% da população adulta do mundo, então a associação é independente.
Diferentes agentes causais

O derramamento de sangue no tecido cerebral ou a obstrução de uma artéria que leva a ele são explicados por causas muito diferentes. Por exemplo, o AVC isquêmico encontra seus gatilhos nos seguintes eventos:
- Trombose: consiste na formação de um coágulo em um vaso sanguíneo, que obstrui o fornecimento de sangue a um local específico, neste caso uma seção do cérebro.
- Embolia: esta condição é semelhante à trombose, mas a obstrução é causada por um êmbolo. A principal diferença é que os êmbolos se formam a partir de um coágulo em outra parte do corpo, se desprendem dele e acabam obstruindo um vaso sanguíneo distante de sua origem.
- Hipoperfusão sistêmica: é uma diminuição do fluxo sanguíneo em todo o corpo, por exemplo, devido a choque hipovolêmico (causado por perda excessiva de sangue por lesão).
- Trombose do seio venoso cerebral: Um tipo específico de trombose que ocorre no seio venoso dural.
- Causas incomuns: por exemplo, a formação de um êmbolo gasoso em um vaso cerebral devido a mudanças de pressão durante o mergulho.
Por outro lado, as causas do AVC hemorrágico são bastante diferentes e levam à excisão desta condição clínica em 2 subtipos próprios. Estes são os seguintes:
- Hemorragia intracerebral: é uma hemorragia que ocorre dentro do próprio cérebro, que pode ser causada por sangramento intraparenquimatoso ou intraventricular.
- Hemorragia subaracnóide: o sangramento ocorre fora do cérebro, mas dentro da cavidade craniana.
Alguns dos gatilhos que podem causar hemorragia intracerebral ou subaracnóidea são emergência hipertensiva, um aneurisma (alargamento ou abaulamento anormal de uma parte de uma artéria) que se rompeu e a aplicação de certos medicamentos, entre outros.
Os aneurismas rotos são um dos principais desencadeadores do AVC hemorrágico.
Diferentes números de fatalidade
As taxas de mortalidade para todos os acidentes vasculares cerebrais combinados são de 15% ao mês após o evento, 25% ao ano e 50% em 5 anos. Em qualquer caso, uma hemorragia intracerebral (acidente vascular cerebral hemorrágico) tem taxas de letalidade de 55% em 1 ano e 70% em 5 anos. Em outras palavras, o AVC hemorrágico ou é mais letal do que o AVC isquêmico ou enfarte cerebral.
Além disso, a idade desempenha um papel essencial na sobrevivência após sofrer dessa condição. Independentemente da variante, 57% das pessoas com AVC com menos de 50 anos sobrevivem mais de 5 anos após o evento. Por outro lado, aqueles com mais de 70 anos relataram uma taxa de sobrevivência de 9% no mesmo intervalo de tempo.
Quanto mais velho o paciente, menores são as chances de sobrevivência.
Uma sintomatologia diversa
Embora em ambos os casos a morte celular do tecido cerebral termine, os sintomas decorrentes de cada condição são um pouco diferentes. Estes são os sintomas de um acidente vascular cerebral isquêmico:
- Envolvimento nas artérias que se ramificam da artéria carótida interna: cegueira em um olho, perda de visão no mesmo lado de ambos os olhos e paralisia em um braço, uma perna ou um lado do corpo.
- Envolvimento nas artérias que se ramificam das artérias vertebrais: tontura e vertigem, visão dupla ou perda de visão em ambos os olhos e fraqueza generalizada em um ou ambos os lados do corpo.
A sintomatologia do AVC hemorrágico é resumida na seguinte lista:
- Dor de cabeça súbita e forte.
- Perda de consciência.
- Vômito, tontura e vertigem
- Torcicolo.
- Dormência na perna, rosto e braço em um lado do corpo.
- Dificuldade de comunicação.
- Fotofobia.
- Inquietação, confusão e convulsões.
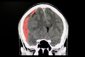
É muito difícil distinguir um AVC isquêmico de um hemorrágico com base nos sintomas. Portanto, em todos os casos é necessária uma visita ao pronto-socorro, onde serão realizados exames como tomografia axial computadorizada, arteriografia e ressonância magnética.
Existem diferenças entre AVC e derrame?
As diferenças entre AVC e derrame são nulas, pois ambos os termos são usados indistintamente na literatura médica. As distinções só são vistas quando falamaos em AVC isquêmico e AVC hemorrágico. Em todo caso, é melhor usar esta última terminologia para não cometer erros.
Os acidentes vasculares isquêmicos são mais comuns do que os hemorrágicos, mas os últimos relatam uma taxa de mortalidade mais alta. No entanto, ambos são concebidos como emergências e requerem atenção médica imediata. Sobreviver ao AVC é possível, mas quase sempre com sequelas e redução da expectativa de vida.
O acidente vascular cerebral ou derrame cerebral é a segunda causa de morte no mundo, conforme indicado pela Organização Mundial da Saúde (OMS). Só são superadas pelas doenças isquêmicas do coração e, junto com estas, representam as principais doenças cardiovasculares. Você conhece as diferenças entre AVC e AVC?
Esses termos são usados indistintamente em muitos casos, mas para poder usá-los da maneira correta é necessário fazer certas aclarações.
A importância dos acidentes vasculares cerebrais
Ambos acidentes representam a perda ou diminuição do fluxo sanguíneo para uma parte do cérebro, o que resulta em danos nos tecidos irreversível. Em linhas posteriores, veremos que existem 2 tipos de AVC: isquêmico e hemorrágico.
Conforme apontado pela OMS, o AVC é a segunda causa de morte no mundo, causando 6,2 milhões de mortes anualmente, o equivalente a 11% do total. Aproximadamente 17 milhões de pessoas sofrem um derrame a cada ano e 33 milhões vivem hoje depois de experimentá-lo.
Os Centros de Controle e Prevenção de Doenças (CDC) nos mostram alguns números interessantes sobre o AVC.
- Em 2018, 1 em cada 6 mortes nos Estados Unidos atribuídas a doenças cardiovasculares foi causada por acidente vascular cerebral.
- Todos os anos, cerca de 795.000 pessoas nesta região sofrem um acidente vascular cerebral. 610.000 deles experimentam pela primeira vez, enquanto a porcentagem restante é recorrente. 1 em cada 4 pessoas que sofreram AVC já o tiveram.
- Aproximadamente 87% dos acidentes vasculares cerebrais são isquêmicos.
- Sofrer de um AVC está associado à perda irreversível das faculdades e à morte em muitos casos.
95% dos acidentes vasculares cerebrais ocorrem em pessoas com mais de 40 anos de idade, com 2/3 das pessoas afetadas sendo pacientes com 65 anos ou mais. No entanto, as chances de desenvolver essa condição com risco de vida aumentam exponencialmente após os 30 anos. Os homens têm 25% mais probabilidade de sofrer um AVC, mas 60% das mortes ocorrem em mulheres.
Os acidentes vasculares cerebrais são a segunda causa de morte em todo o mundo.
As diferenças entre AVC e derrame cerebral

As diferenças entre AVC e derrame são muito menores do que pode parecer à primeira vista, já que a maioria das fontes profissionais usa ambos os termos como intercambiáveis. AVC, derrame e acidente vascular cerebral são usados para designar a mesma coisa: a falta de suprimento de sangue para o tecido cerebral. Vamos ver as definições exatas de cada um deles.
O National Cancer Institute (NCI) define o AVC como “a perda de fluxo sanguíneo para uma parte do cérebro que danifica o tecido cerebral”. O AVC pode ser hemorrágico e isquêmico, dependendo da etiologia da doença. De acordo com esta fonte, o termo acidente vascular cerebral é sinônimo de derrame cerebral.
O portal RadiologyInfo argumenta que acidente vascular cerebral é o que ocorre quando o fluxo sanguíneo para uma parte do cérebro é interrompido como resultado da ruptura ou bloqueio de um vaso. Novamente, é feita uma distinção entre a variante isquêmica e hemorrágica, portanto não há nenhuma diferença com o termo derrame cerebral.
No sentido estrito da palavra, derrame deveria designar apenas aquela condição em que o sangue se derrama pelo tecido cerebral, algo que ocorre no AVC hemorrágico, mas não no AVC isquêmico. Por esse motivo, o AVC isquêmico deve ser denominado infarto cerebral, restando apenas o termo derrame para a variante hemorrágica.
Em todo caso, essa distinção carece de respaldo médico e não é levada em consideração nos portais de diagnóstico profissional. Portanto, podemos afirmar que não há diferenças entre AVC e derrame.
Diferenças entre AVC isquêmico e hemorrágico
Embora não haja distinção entre AVC e derrame, existem diferenças claras entre AVC isquêmico e AVC hemorrágico. Aproveitamos essas linhas para explicar ambos os quadros clínicos e confrontá-los, pois têm relevância em nível médico. Não o perca!
Infarto cerebral vs. derrame cerebral
A palavra mais apropriada para acidente vascular cerebral isquêmico é infarto cerebral. Essa condição ocorre quando parte do fluxo sanguíneo é reduzido em uma área específica do cérebro. Essa falta de sangue é longa o suficiente para causar a morte de parte do tecido cerebral.
Por outro lado, o derrame hemorrágico ocorre quando um vaso sanguíneo se rompe e sangra dentro do cérebro. Minutos após a ruptura do vaso, as células cerebrais começam a morrer, pois são cercadas por fluido sanguíneo que interrompe seus processos fisiológicos.
Também deve ser levado em consideração que existe uma terceira condição nesta frente, que é conhecida como mini AVC ou ataque isquêmico transitório. Este é um tipo muito breve de derrame em que o fluxo sanguíneo é interrompido em parte do tecido cerebral. Os sintomas são muito semelhantes aos de um AVC normal, mas a duração é muito mais curta, além de ser reversível.
Em um infarto cerebral, o fluxo sanguíneo para uma área do cérebro é interrompido, enquanto em um derrame o sangue se acumula no tecido cerebral.
Diferentes números epidemiológicos
Conforme indicado pela Biblioteca Nacional de Medicina dos Estados Unidos, o acidente vascular cerebral isquêmico é responsável por 80% dos acidentes vasculares cerebrais em todo o mundo. Portanto, a variante hemorrágica só pode explicar os 20% restantes dos casos (em algumas regiões, como os EUA menos, pois representa 13%).
Os acidentes vasculares isquêmicos são muito mais comuns devido à sua etiologia causal. Esse tipo de acidente vascular cerebral é causado por doenças como colesterol alto, hipertensão, diabetes, alcoolismo e obesidade, entre outras doenças muito prevalentes na sociedade em geral. A hipertensão arterial afeta mais de 30% da população adulta do mundo, então a associação é independente.
Diferentes agentes causais

O derramamento de sangue no tecido cerebral ou a obstrução de uma artéria que leva a ele são explicados por causas muito diferentes. Por exemplo, o AVC isquêmico encontra seus gatilhos nos seguintes eventos:
- Trombose: consiste na formação de um coágulo em um vaso sanguíneo, que obstrui o fornecimento de sangue a um local específico, neste caso uma seção do cérebro.
- Embolia: esta condição é semelhante à trombose, mas a obstrução é causada por um êmbolo. A principal diferença é que os êmbolos se formam a partir de um coágulo em outra parte do corpo, se desprendem dele e acabam obstruindo um vaso sanguíneo distante de sua origem.
- Hipoperfusão sistêmica: é uma diminuição do fluxo sanguíneo em todo o corpo, por exemplo, devido a choque hipovolêmico (causado por perda excessiva de sangue por lesão).
- Trombose do seio venoso cerebral: Um tipo específico de trombose que ocorre no seio venoso dural.
- Causas incomuns: por exemplo, a formação de um êmbolo gasoso em um vaso cerebral devido a mudanças de pressão durante o mergulho.
Por outro lado, as causas do AVC hemorrágico são bastante diferentes e levam à excisão desta condição clínica em 2 subtipos próprios. Estes são os seguintes:
- Hemorragia intracerebral: é uma hemorragia que ocorre dentro do próprio cérebro, que pode ser causada por sangramento intraparenquimatoso ou intraventricular.
- Hemorragia subaracnóide: o sangramento ocorre fora do cérebro, mas dentro da cavidade craniana.
Alguns dos gatilhos que podem causar hemorragia intracerebral ou subaracnóidea são emergência hipertensiva, um aneurisma (alargamento ou abaulamento anormal de uma parte de uma artéria) que se rompeu e a aplicação de certos medicamentos, entre outros.
Os aneurismas rotos são um dos principais desencadeadores do AVC hemorrágico.
Diferentes números de fatalidade
As taxas de mortalidade para todos os acidentes vasculares cerebrais combinados são de 15% ao mês após o evento, 25% ao ano e 50% em 5 anos. Em qualquer caso, uma hemorragia intracerebral (acidente vascular cerebral hemorrágico) tem taxas de letalidade de 55% em 1 ano e 70% em 5 anos. Em outras palavras, o AVC hemorrágico ou é mais letal do que o AVC isquêmico ou enfarte cerebral.
Além disso, a idade desempenha um papel essencial na sobrevivência após sofrer dessa condição. Independentemente da variante, 57% das pessoas com AVC com menos de 50 anos sobrevivem mais de 5 anos após o evento. Por outro lado, aqueles com mais de 70 anos relataram uma taxa de sobrevivência de 9% no mesmo intervalo de tempo.
Quanto mais velho o paciente, menores são as chances de sobrevivência.
Uma sintomatologia diversa
Embora em ambos os casos a morte celular do tecido cerebral termine, os sintomas decorrentes de cada condição são um pouco diferentes. Estes são os sintomas de um acidente vascular cerebral isquêmico:
- Envolvimento nas artérias que se ramificam da artéria carótida interna: cegueira em um olho, perda de visão no mesmo lado de ambos os olhos e paralisia em um braço, uma perna ou um lado do corpo.
- Envolvimento nas artérias que se ramificam das artérias vertebrais: tontura e vertigem, visão dupla ou perda de visão em ambos os olhos e fraqueza generalizada em um ou ambos os lados do corpo.
A sintomatologia do AVC hemorrágico é resumida na seguinte lista:
- Dor de cabeça súbita e forte.
- Perda de consciência.
- Vômito, tontura e vertigem
- Torcicolo.
- Dormência na perna, rosto e braço em um lado do corpo.
- Dificuldade de comunicação.
- Fotofobia.
- Inquietação, confusão e convulsões.
É muito difícil distinguir um AVC isquêmico de um hemorrágico com base nos sintomas. Portanto, em todos os casos é necessária uma visita ao pronto-socorro, onde serão realizados exames como tomografia axial computadorizada, arteriografia e ressonância magnética.
Existem diferenças entre AVC e derrame?
As diferenças entre AVC e derrame são nulas, pois ambos os termos são usados indistintamente na literatura médica. As distinções só são vistas quando falamaos em AVC isquêmico e AVC hemorrágico. Em todo caso, é melhor usar esta última terminologia para não cometer erros.
Os acidentes vasculares isquêmicos são mais comuns do que os hemorrágicos, mas os últimos relatam uma taxa de mortalidade mais alta. No entanto, ambos são concebidos como emergências e requerem atenção médica imediata. Sobreviver ao AVC é possível, mas quase sempre com sequelas e redução da expectativa de vida.
- Las 10 principales causas de defunción, OMS. Recogido a 9 de octubre en https://www.who.int/es/news-room/fact-sheets/detail/the-top-10-causes-of-death
- Stroke facts, CDC. Recogido a 9 de octubre en https://www.cdc.gov/stroke/facts.htm#:~:text=Stroke%20Statistics&text=Every%204%20minutes%2C%20someone%20dies%20of%20stroke.&text=Every%20year%2C%20more%20than%20795%2C000,are%20first%20or%20new%20strokes.&text=About%20185%2C000%20strokes%E2%80%94nearly%201,have%20had%20a%20previous%20stroke.
- Definición de ictus, Instituto Nacional del Cáncer (NCI). Recogido a 9 de octubre en https://www.cancer.gov/espanol/publicaciones/diccionarios/diccionario-cancer/def/ictus
- Derrame cerebral, Radiology Info. Recogido a 9 de octubre en https://www.radiologyinfo.org/es/info/stroke
- Diferencias entre ictus y derrame cerebral, Mundo deportivo. Recogido a 9 de octubre en https://www.mundodeportivo.com/vidae/salud/20210129/491775428825/diferencias-entre-ictus-y-derrame-cerebral.html
- Accidente cerebrovascular, Medlineplus.gov. Recogido a 9 de octubre en https://medlineplus.gov/spanish/stroke.html
Este texto se ofrece únicamente con propósitos informativos y no reemplaza la consulta con un profesional. Ante dudas, consulta a tu especialista.







