Pneumotorace: sintomi, cause e trattamento

Lo pneumotorace è una patologia che provoca il collasso polmonare in conseguenza dell’ingresso di aria nella cavità pleurica. Le cause possono essere di varia natura, sebbene i casi traumatici siano i più frequenti.
Di seguito troverete un breve articolo sulle principali caratteristiche di questa condizione. Continuate a leggere per saperne di più!
Anatomia e fisiologia dell’apparato respiratorio

L’apparato respiratorio è composto dalle vie aeree e dai polmoni. Le prime includono laringe, trachea, bronchi, bronchioli e alveoli.
I polmoni sono costituiti da tessuto connettivo altamente elastico. Naturalmente, sono dotati di un sistema vascolare, con i vasi sanguigni più piccoli strettamente collegati agli alveoli.
I polmoni sono circondati da un tessuto chiamato pleura, composta da due foglietti molto sottili ma resistenti. Lo strato più vicino alla superficie dei polmoni è chiamato viscerale e quello che aderisce alle pareti del torace è chiamato parietale.
Lo spazio presente tra i due foglietti è chiamato cavità pleurica e contiene una piccola quantità di liquido. Grazie a un complesso meccanismo legato alla differenza di pressione tra l’atmosfera e l’interno dei polmoni, può avere corso il fenomeno della ventilazione.
L’essere umano è quindi in grado di inalare aria ricca di ossigeno ed espellere l’anidride carbonica proveniente dal metabolismo di tutte le cellule. Questo processo è chiamato scambio di gas.
Nello scambio gassoso, l’ossigeno si diffonde dagli alveoli polmonari ai vasi sanguigni, e da qui al lato sinistro del cuore che lo distribuirà al resto del corpo. Nel processo inverso, l’anidride carbonica passa dai piccoli vasi agli alveoli, per essere eliminata infine con l’espirazione.
Definizione e sintomi di pneumotorace
Lo pneumotorace è un’emergenza medica causata dall’ingresso di aria nella cavità pleurica. Come accennato prima, questo spazio contiene una piccola quantità di liquido. L’aria che causa questa condizione può provenire sia dall’interno che dall’esterno del corpo. In quest’ultimo caso, il motivo è spesso un trauma toracico.
Per una serie di reazioni fisiche, il polmone finisce per collassare. Pertanto, le manifestazioni cliniche derivano dalla brusca mancanza di ossigenazione. I sintomi sono molto caratteristici:
- Mancanza di respiro (dispnea)
- Aumento della frequenza cardiaca (tachicardia).
- Ventilazione superficiale, ma accompagnata da un aumento della frequenza respiratoria (tachipnea).
- Tosse secca.
- Nervosismo.
- Sudorazione abbondante
Pneumotorace: fattori di rischio
Sebbene un gran numero di casi di pneumotorace siano la conseguenza di traumi aperti, esistono alcune condizioni che aumentano la probabilità di soffrire di casi primari o spontanei. Alcune sono le seguenti:
- Storia personale di pneumotorace, indipendentemente dalla causa.
- Broncopneumopatia cronica ostruttiva (BPCO).
- Fumo.
- Necessità di ventilazione meccanica per qualsiasi patologia. Questi pazienti sono solitamente in unità di terapia intensiva.
La BPCO è una malattia infiammatoria cronica che colpisce il tessuto polmonare. È più comune nei pazienti di età superiore ai 40 anni ed è solitamente la conseguenza del fumo o dell’esposizione ai prodotti di combustione della biomassa. Quest’ultima è tipica delle zone rurali, dove si cucina con il forno a legna.
Tipi e cause
È possibile distinguere quattro tipi di pneumotorace. Le differenze risiedono nei meccanismi fisiopatologici: traumatico, iatrogeno, correlato alla ventilazione meccanica e spontaneo.
Traumatico
Di solito è la forma più frequente nei pazienti giovani, soprattutto quelli che vivono in zone con un più alto tasso di violenza. Sia le ferite da taglio che da arma da fuoco sono in grado di produrre uno pneumotorace traumatico.
La perforazione della pleura parietale mette in comunicazione la cavità pleurica con l’esterno. A causa della differenza di pressione, l’aria entra nella cavità, provocando un collasso polmonare quasi immediato.
Iatrogeno e correlato alla ventilazione meccanica
Il termine iatrogenesi viene utilizzato per designare qualsiasi patologia che ha origine da un atto terapeutico. Può essere la conseguenza di un errore umano o l’effetto negativo di un trattamento.
Durante alcune procedure come l’incannulazione di un accesso venoso attraverso la vena succlavia, la biopsia polmonare e la toracentesi, esiste il rischio di uno pneumotorace iatrogeno.
D’altra parte, i pazienti con insufficienza respiratoria richiedono spesso ventilazione meccanica e ricovero in unità di terapia intermedia o intensiva. Ciò consente di monitorare in modo artificiale sia la pressione che l’ossigeno necessari a garantire un’adeguata meccanica polmonare.
Questo a volte può portare alla sovraespansione polmonare e alla rottura degli alveoli, con conseguente pneumotorace ed enfisema sottocutaneo. Anche questo caso è considerato una causa iatrogena.
Spontaneo
Quest’ultimo tipo di pneumotorace è quello che tende a causare problemi diagnostici, poiché non esiste una causa evidente. Può essere suddiviso in primario e secondario. La differenza sta nel fatto che quest’ultimo tipo si verifica in pazienti con preesistenti patologie polmonari.
Alcuni dei casi primari si sviluppa in pazienti con bolle polmonari precedentemente non diagnosticate. Quest’ultima è una struttura piena d’aria che si può sviluppare negli apici polmonari. Possono formarsi a seguito di infezioni in corso o precedenti, come nella tubercolosi e in alcuni casi di polmonite.
Diagnosi di pneumotorace

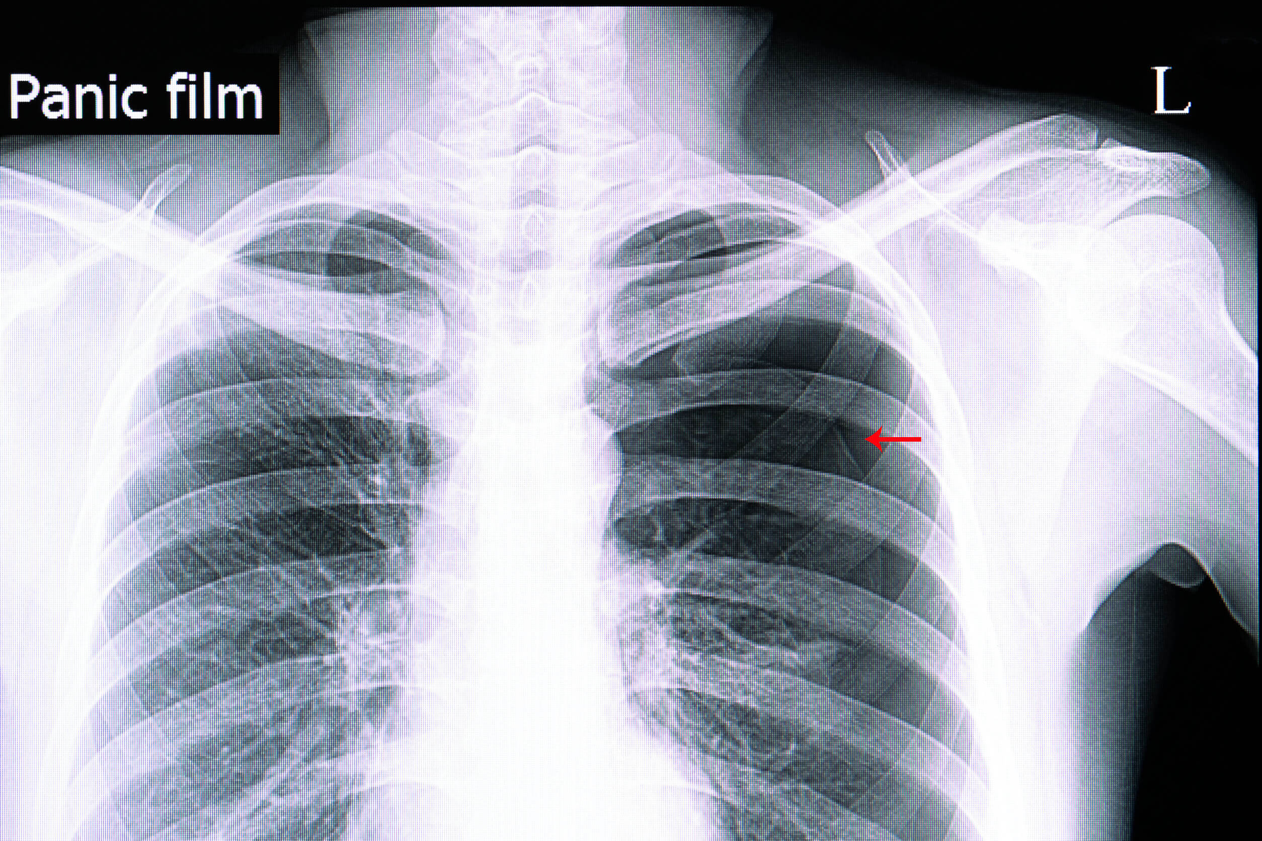
La diagnosi è per lo più clinica; si può ricorrere a esami complementari nei casi in cui la vita del paziente non sia a rischio immediato.
Tra questi, la radiografia del torace è la più indicata. Il collasso del polmone e delle sue strutture vascolari è solitamente molto evidente, nonostante in alcuni pazienti possa passare inosservato. In quest’ultimo caso, può essere utile ricorrere a una scansione TC.
Trattamento
L’obiettivo del trattamento è rimuovere l’aria all’interno della cavità pleurica, per favorire un’adeguata espansione polmonare e il ripristino della meccanica di questo sistema. A seconda del caso, si sceglierà un trattamento chirurgico o non chirurgico.
Il trattamento chirurgico per eccellenza è la videotoracoscopia, che permette di localizzare e chiudere le zone dove è presente una perdita d’aria. È molto utile nei casi di pneumotorace spontaneo.
Nei casi traumatici, l’inserimento di un tubo flessibile favorisce la fuoriuscita dell’aria. Tuttavia, poiché la recidiva sotto forma di pneumotorace spontaneo può essere elevata, si consiglia una procedura chirurgica per sigillare in modo permanente il sito della lesione iniziale.
Pneumotorace, un’emergenza medica
Sebbene i casi di pneumotorace possano essere gestiti in poche ore, alcuni possono progredire fino a una forma pericolosa chiamata pneumotorace tensivo. Pertanto, in presenza dei sintomi elencati, è importante chiamare tempestivamente il servizio di emergenza medica.
Lo pneumotorace è una patologia che provoca il collasso polmonare in conseguenza dell’ingresso di aria nella cavità pleurica. Le cause possono essere di varia natura, sebbene i casi traumatici siano i più frequenti.
Di seguito troverete un breve articolo sulle principali caratteristiche di questa condizione. Continuate a leggere per saperne di più!
Anatomia e fisiologia dell’apparato respiratorio

L’apparato respiratorio è composto dalle vie aeree e dai polmoni. Le prime includono laringe, trachea, bronchi, bronchioli e alveoli.
I polmoni sono costituiti da tessuto connettivo altamente elastico. Naturalmente, sono dotati di un sistema vascolare, con i vasi sanguigni più piccoli strettamente collegati agli alveoli.
I polmoni sono circondati da un tessuto chiamato pleura, composta da due foglietti molto sottili ma resistenti. Lo strato più vicino alla superficie dei polmoni è chiamato viscerale e quello che aderisce alle pareti del torace è chiamato parietale.
Lo spazio presente tra i due foglietti è chiamato cavità pleurica e contiene una piccola quantità di liquido. Grazie a un complesso meccanismo legato alla differenza di pressione tra l’atmosfera e l’interno dei polmoni, può avere corso il fenomeno della ventilazione.
L’essere umano è quindi in grado di inalare aria ricca di ossigeno ed espellere l’anidride carbonica proveniente dal metabolismo di tutte le cellule. Questo processo è chiamato scambio di gas.
Nello scambio gassoso, l’ossigeno si diffonde dagli alveoli polmonari ai vasi sanguigni, e da qui al lato sinistro del cuore che lo distribuirà al resto del corpo. Nel processo inverso, l’anidride carbonica passa dai piccoli vasi agli alveoli, per essere eliminata infine con l’espirazione.
Definizione e sintomi di pneumotorace
Lo pneumotorace è un’emergenza medica causata dall’ingresso di aria nella cavità pleurica. Come accennato prima, questo spazio contiene una piccola quantità di liquido. L’aria che causa questa condizione può provenire sia dall’interno che dall’esterno del corpo. In quest’ultimo caso, il motivo è spesso un trauma toracico.
Per una serie di reazioni fisiche, il polmone finisce per collassare. Pertanto, le manifestazioni cliniche derivano dalla brusca mancanza di ossigenazione. I sintomi sono molto caratteristici:
- Mancanza di respiro (dispnea)
- Aumento della frequenza cardiaca (tachicardia).
- Ventilazione superficiale, ma accompagnata da un aumento della frequenza respiratoria (tachipnea).
- Tosse secca.
- Nervosismo.
- Sudorazione abbondante
Pneumotorace: fattori di rischio
Sebbene un gran numero di casi di pneumotorace siano la conseguenza di traumi aperti, esistono alcune condizioni che aumentano la probabilità di soffrire di casi primari o spontanei. Alcune sono le seguenti:
- Storia personale di pneumotorace, indipendentemente dalla causa.
- Broncopneumopatia cronica ostruttiva (BPCO).
- Fumo.
- Necessità di ventilazione meccanica per qualsiasi patologia. Questi pazienti sono solitamente in unità di terapia intensiva.
La BPCO è una malattia infiammatoria cronica che colpisce il tessuto polmonare. È più comune nei pazienti di età superiore ai 40 anni ed è solitamente la conseguenza del fumo o dell’esposizione ai prodotti di combustione della biomassa. Quest’ultima è tipica delle zone rurali, dove si cucina con il forno a legna.
Tipi e cause
È possibile distinguere quattro tipi di pneumotorace. Le differenze risiedono nei meccanismi fisiopatologici: traumatico, iatrogeno, correlato alla ventilazione meccanica e spontaneo.
Traumatico
Di solito è la forma più frequente nei pazienti giovani, soprattutto quelli che vivono in zone con un più alto tasso di violenza. Sia le ferite da taglio che da arma da fuoco sono in grado di produrre uno pneumotorace traumatico.
La perforazione della pleura parietale mette in comunicazione la cavità pleurica con l’esterno. A causa della differenza di pressione, l’aria entra nella cavità, provocando un collasso polmonare quasi immediato.
Iatrogeno e correlato alla ventilazione meccanica
Il termine iatrogenesi viene utilizzato per designare qualsiasi patologia che ha origine da un atto terapeutico. Può essere la conseguenza di un errore umano o l’effetto negativo di un trattamento.
Durante alcune procedure come l’incannulazione di un accesso venoso attraverso la vena succlavia, la biopsia polmonare e la toracentesi, esiste il rischio di uno pneumotorace iatrogeno.
D’altra parte, i pazienti con insufficienza respiratoria richiedono spesso ventilazione meccanica e ricovero in unità di terapia intermedia o intensiva. Ciò consente di monitorare in modo artificiale sia la pressione che l’ossigeno necessari a garantire un’adeguata meccanica polmonare.
Questo a volte può portare alla sovraespansione polmonare e alla rottura degli alveoli, con conseguente pneumotorace ed enfisema sottocutaneo. Anche questo caso è considerato una causa iatrogena.
Spontaneo
Quest’ultimo tipo di pneumotorace è quello che tende a causare problemi diagnostici, poiché non esiste una causa evidente. Può essere suddiviso in primario e secondario. La differenza sta nel fatto che quest’ultimo tipo si verifica in pazienti con preesistenti patologie polmonari.
Alcuni dei casi primari si sviluppa in pazienti con bolle polmonari precedentemente non diagnosticate. Quest’ultima è una struttura piena d’aria che si può sviluppare negli apici polmonari. Possono formarsi a seguito di infezioni in corso o precedenti, come nella tubercolosi e in alcuni casi di polmonite.
Diagnosi di pneumotorace

La diagnosi è per lo più clinica; si può ricorrere a esami complementari nei casi in cui la vita del paziente non sia a rischio immediato.
Tra questi, la radiografia del torace è la più indicata. Il collasso del polmone e delle sue strutture vascolari è solitamente molto evidente, nonostante in alcuni pazienti possa passare inosservato. In quest’ultimo caso, può essere utile ricorrere a una scansione TC.
Trattamento
L’obiettivo del trattamento è rimuovere l’aria all’interno della cavità pleurica, per favorire un’adeguata espansione polmonare e il ripristino della meccanica di questo sistema. A seconda del caso, si sceglierà un trattamento chirurgico o non chirurgico.
Il trattamento chirurgico per eccellenza è la videotoracoscopia, che permette di localizzare e chiudere le zone dove è presente una perdita d’aria. È molto utile nei casi di pneumotorace spontaneo.
Nei casi traumatici, l’inserimento di un tubo flessibile favorisce la fuoriuscita dell’aria. Tuttavia, poiché la recidiva sotto forma di pneumotorace spontaneo può essere elevata, si consiglia una procedura chirurgica per sigillare in modo permanente il sito della lesione iniziale.
Pneumotorace, un’emergenza medica
Sebbene i casi di pneumotorace possano essere gestiti in poche ore, alcuni possono progredire fino a una forma pericolosa chiamata pneumotorace tensivo. Pertanto, in presenza dei sintomi elencati, è importante chiamare tempestivamente il servizio di emergenza medica.
- González C. Neumotórax espontáneo a tensión. SEMERGEN 2010;36(4):227-229.
- González Fernández AM, Torres Torres AR, Valverde Molina J. Traumatismo torácico, neumotórax, hemoptisis y tromboembolismo pulmonar. Protoc diagn ter pediatr 2017;1:189-209.
- Johnson NN, Toledo A, Endom EE. Pneumothorax, pneumomediastinum and pulmonary embolism. Pediatr Clin N Am. 2010;57:1357-83.
- Porcel J. Neumotórax espontáneo. Medicina Integral 2001;38(1):3-7.
- Roberts DJ, Leigh-Smith S, Faris PD, Ball ChG, Robertson HLBlacmore Ch, et al. Clinical manifestations of tension pneumothorax: protocol for a systemic review and meta-analysis. Syst Rev. 2014;3:3.
- Ossés J, et al. Neumotórax. Revista Medicina Respiratoria 2003;1:35-40.
Este texto se ofrece únicamente con propósitos informativos y no reemplaza la consulta con un profesional. Ante dudas, consulta a tu especialista.







